13 năm thoái hóa khớp gối
2026-04-22
HaiPress
"Đây là trường hợp điển hình điều trị sai cách kéo dài,bệnh ngày càng nghiêm trọng và ảnh hưởng chức năng của nhiều cơ quan khác",ThS.BS.CKI Đặng Khoa Học,Trưởng khoa Chấn thương Chỉnh hình Tổng quát,Bệnh viện Đa khoa Tâm Anh TP HCM,cho biết khi khám cho bà Hồng.
Khớp gối của bà Hồng sưng to,đau nhức 13 năm qua,đã can thiệp hút dịch,cắt lọc nhưng các khớp khác cũng đồng thời sưng đau. Bà uống các loại thuốc bắc,thuốc gia truyền nhiều năm cũng không cải thiện. Bà khám tại cơ sở y tế địa phương được chẩn đoán viêm đa khớp dạng thấp,uống thuốc song gặp tác dụng phụ đau dạ dày nên tự ý ngưng thuốc và tiếp tục dùng rượu thuốc,thuốc tễ.
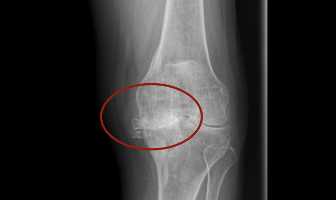
Gần đây,khớp càng sưng đau,bà đến Bệnh viện Đa khoa Tâm Anh TP HCM chụp X-quang cho thấy khớp gối trái thoái hóa giai đoạn cuối,biến dạng nặng,vẹo trục 15 độ,mất hết sụn,tổn thương xương dưới sụn,mất xương mâm chày bên trong. Người bệnh còn bị suy giảm chức năng gan thận,dẫn đến suy thận mạn giai đoạn sớm,bác sĩ Học cho rằng "do bệnh nhân tự ý dùng nhiều thuốc trong thời gian dài".

Kết quả chụp X-quang cho thấy khớp gối của bà Hồng tổn thương nghiêm trọng,các đầu xương va chạm trực tiếp vào nhau. Ảnh: Bệnh viện Đa khoa Tâm Anh
Bà Hồng được bác sĩ chỉ định thay khớp gối bằng robot Cuvis-Joint. Phần mềm J-Planner sử dụng hình ảnh CT 3D để phân tích cấu trúc xương,dựng mô hình và lập kế hoạch mổ chi tiết về vị trí,hướng cắt xương,trục chi và vị trí đặt khớp.
Trong ca mổ,bác sĩ đối chiếu dữ liệu với thực tế,cân bằng khớp và mô mềm qua "bản đồ GPS" do robot tạo ra. Sau khi thống nhất tất cả thông số,bác sĩ đặt lệnh cho robot tự thực hiện cắt xương theo kế hoạch chuẩn xác. Khớp nhân tạo được đặt vào khít với xương,tối ưu kết quả.
Ngày đầu sau mổ,bà Hồng chỉ còn đau tại vị trí vết mổ. Ngày tiếp theo,người bệnh có thể đi lại ổn định với sự hỗ trợ của khung tập đi.

Bác sĩ Học sử dụng robot Cuvis-Joint có tích hợp trí tuệ nhân tạo AI thay khớp gối cho bà Hồng. Ảnh: Bệnh viện Đa khoa Tâm Anh
Viêm đa khớp dạng thấp là bệnh lý tự miễn mạn tính,không thể chữa khỏi hoàn toàn,nếu không được kiểm soát tốt,bệnh có thể dẫn đến các biến chứng nặng và tổn thương nhiều cơ quan khác như mắt,tim,phổi,da,mạch máu... Trong khi đó,thoái hóa khớp là tình trạng tổn thương sụn và các mô xung quanh khớp khiến cho hai đầu xương chà xát lên nhau khi vận động,gây đau đớn,viêm sưng hạn chế trong di chuyển.
Bác sĩ Học khuyến cáo người bệnh nên khám sớm và tuân thủ điều trị để kiểm soát triệu chứng,giảm đau và cải thiện vận động. Trường hợp đã được chẩn đoán mắc bệnh hoặc xuất hiện các bất thường ở hệ cơ xương khớp cần đến cơ sở chuyên khoa sớm để điều trị kịp thời.
Phi Hồng
Chương trình Tuần tư vấn "Robot AI thay khớp thế hệ mới đầu tiên tại Việt Nam: Chỉ định đúng,phẫu thuật an toàn,hiệu quả vượt trội" đang diễn ra trên website của Bệnh viện Đa khoa Tâm Anh. Độc giả quan tâm có thể tiếp tục gửi câu hỏi tại đây để được các bác sĩ giải đáp.




